What’s Possible
Every smile you see here started with a conversation about goals, concerns, and the confidence they wanted to feel.
Our Before & After gallery features real patient transformations, from subtle refinements to dramatic makeovers. These photos show how orthodontics can improve alignment, balance the bite, and bring out the best in every smile.
Scroll through and see what’s possible with expert care and a personalized approach.
Early treatment
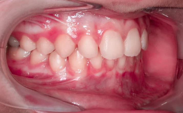
Single tooth crossbite corrected with a removable retainer
After


Before
Early treatment with a fixed retainer to help stop a persistent thumb habit
After


Before
This severe “overbite” was corrected by using removable retainers

After

Before
This crossbite was corrected with a fixed expander. No additional treatment with braces was needed after the early treatment.

After

Before
This “underbite” was corrected by using a removable retainer

After

Before
Braces
Treatment with an upper palatal expander and upper and lower braces
After

Before

Treatment with an upper palatal expander and upper and lower braces

After

Before
Full treatment with braces to close a front space (“diastema”)

After

Before
Invisalign
Treatment with upper and lower Invisalign (adult patient)

After

Before
Treatment with upper and lower Invisalign
After

Before

Treatment with upper and lower Invisalign

After

